MedlinePlus Información de Salud para UstedMedlinePlus Información de Salud para UstedMedlinePlus Información de Salud para Usted

Enciclopedia médica en español

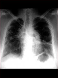
Sarcoide, etapa IV; rayos X de tórax

Sarcoide, etapa IV; rayos X de tórax

La placa muestra un sarcoide avanzado, cicatrización de los pulmones (bandas claras) y la formación de cavidades (áreas oscuras en la parte superior derecha).

Actualizado: 9/16/2008


A.D.A.M. logo