![]() | ![]() | ![]() |
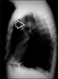
Masa pulmonar - Vista lateral de la radiografía de tórax

La parte superior del pulmón de este individuo presenta una masa. Aunque la causa puede sospecharse de acuerdo con los antecedentes de esta persona, existen muchas enfermedades que pueden producir lesiones pulmonares.
Actualizado: 8/29/2008
