MedlinePlus Información de Salud para UstedMedlinePlus Información de Salud para UstedMedlinePlus Información de Salud para Usted

Enciclopedia médica en español

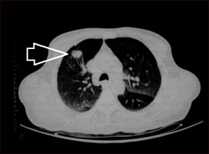
Masa pulmonar, lóbulo superior derecho - Tomografía computarizada

Masa pulmonar, lóbulo superior derecho - Tomografía computarizada

TC de la parte superior de los pulmones. El individuo posee una masa en la parte superior del pulmón derecho (lado izquierdo de la imagen).

Actualizado: 8/29/2008


A.D.A.M. logo