![]() | ![]() | ![]() |
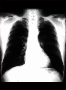
Cáncer bronquial - radiografía de tórax

Ésta es una radiografía de tórax de una persona con cáncer bronquial. En esta vista frontal, los pulmones aparecen como dos áreas oscuras y el corazón y otras estructuras como las áreas claras visibles en la mitad del tórax. Las áreas claras que aparecen como ramificaciones sutiles extendiéndose desde el centro hacia los pulmones son cancerosas.
Actualizado: 9/4/2008
