MedlinePlus Información de Salud para UstedMedlinePlus Información de Salud para UstedMedlinePlus Información de Salud para Usted

Enciclopedia médica en español

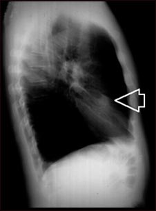
Nódulo pulmonar, lóbulo medio derecho- Radiografía de tórax

Nódulo pulmonar, lóbulo medio derecho- Radiografía de tórax

Esta es una radiografía de tórax (RXT) de un nódulo en el pulmón derecho.

Actualizado: 8/10/2008


A.D.A.M. logo