MedlinePlus Información de Salud para UstedMedlinePlus Información de Salud para UstedMedlinePlus Información de Salud para Usted

Enciclopedia médica en español

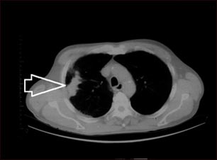
Masa pulmonar, pulmón derecho - Tomografía.

Masa pulmonar, pulmón derecho - Tomografía.

TC de la parte superior del tórax que muestra una masa en el pulmón derecho (se puede observar al lado izquierdo de la imagen).

Actualizado: 8/29/2008


A.D.A.M. logo