![]() | ![]() | ![]() |
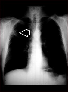
Masa pulmonar, pulmón superior derecho - Radiografía de tórax

Radiografía del tórax de una persona con una masa pulmonar. Esta es una vista frontal, donde los pulmones son las dos áreas oscuras y el corazón y las otras estructuras son visibles en el centro del tórax. La radiografía muestra una masa en la parte superior del pulmón derecho, marcada por una flecha (al lado izquierdo de la imagen).
Actualizado: 8/29/2008
