MedlinePlus Información de Salud para UstedMedlinePlus Información de Salud para UstedMedlinePlus Información de Salud para Usted

Enciclopedia médica en español

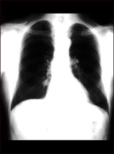
Nódulo pulmonar: vista frontal en la radiografía de tórax

Nódulo pulmonar - Vista frontal de la radiografía de tórax

Ésta es una radiografía del tórax que muestra una masa en la parte inferior del pulmón derecho, cerca al corazón (se puede observar del lado izquierdo de la imagen).

Actualizado: 8/29/2008


A.D.A.M. logo