MedlinePlus Información de Salud para UstedMedlinePlus Información de Salud para UstedMedlinePlus Información de Salud para Usted

Enciclopedia médica en español

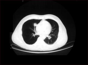
Nódulo pulmonar, pulmón inferior derecho - Tomografía computarizada

Nódulo pulmonar, pulmón inferior derecho - Tomografía computarizada

Tomografía computarizada que muestra una masa en la parte inferior derecha del tórax, cerca del corazón (lado izquierdo de la fotografía).

Actualizado: 8/29/2008


A.D.A.M. logo