![]() | ![]() | ![]() |
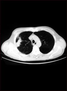
Tomografía computarizada del pulmón con cáncer de células escamosas

Esta tomografía computarizada muestra un corte transversal de los pulmones de una persona con cáncer pulmonar. Las dos áreas oscuras en el centro de la pantalla son los pulmones y las áreas claras en el pulmón derecho representan el cáncer (lado izquierdo de la imagen).
Actualizado: 8/29/2008
