![]() | ![]() | ![]() |
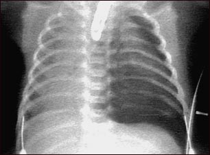
Neumotórax, radiografía de tórax

El neumotórax ocurre cuando se filtra aire desde el interior del pulmón hacia el espacio entre el pulmón y la pared torácica, ocasionando un colapso del pulmón. La oscuridad al lado derecho de la imagen indica la presencia de aire fuera del tejido pulmonar.
Actualizado: 11/12/2007
