MedlinePlus Información de Salud para UstedMedlinePlus Información de Salud para UstedMedlinePlus Información de Salud para Usted

Enciclopedia médica en español

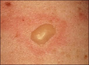
Ampolla por quemaduras vista de cerca

Ampolla por quemaduras vista de cerca

Las quemaduras de primer grado sólo producen enrojecimiento de la piel. Las de segundo grado producen ampollamiento, como se aprecia aquí.

Actualizado: 2/19/2008


A.D.A.M. logo