![]() | ![]() | ![]() |
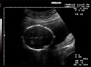
Ultrasonido de un feto normal; medidas de la cabeza

Ultrasonido normal a las 19 semanas de gestación. Por lo general los médicos prefieren disponer de las medidas fetales para verificar el tamaño del feto y para buscar anomalías. Este ultrasonido muestra las medidas de la cabeza fetal, señaladas por las líneas punteadas y las cruces.
Actualizado: 1/24/2008
