![]() | ![]() | ![]() |
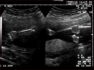
Ultrasonido normal - brazos y piernas del feto

Ultrasonido normal a las 19 semanas de gestación en el cual se aprecia el tipo de proyección de la imagen en pantalla dividida que la madre puede observar durante el procedimiento, o que el técnico puede imprimir. Se observan el brazo izquierdo (al lado izquierdo de la pantalla) y las extremidades inferiores (al lado derecho de la pantalla) y las áreas blancas dentro de brazos y piernas son los huesos en formación.
Actualizado: 1/24/2008
