![]() | ![]() | ![]() |
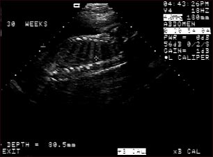
Ultrasonido de un feto normal; columna y costillas

Ultrasonido normal a las 30 semanas de gestación. En el centro de la pantalla se observa el perfil nítido de la columna vertebral y las costillas. La cruz se encuentra ubicada entre dos costillas justo por debajo de la columna vertebral.
Actualizado: 1/24/2008
