![]() | ![]() | ![]() |
Ultrasonido de un feto normal; ventrículos cerebrales

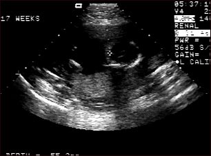
Ultrasonido normal a las 17 semanas de gestación. El cerebro y el sistema nervioso comienzan a desarrollarse con prontitud en la vida del feto. Al realizar un ultrasonido, el técnico por lo general busca la presencia de los ventrículos cerebrales, los cuales son los espacios llenos de líquido en el interior del cerebro. En este ultrasonido los ventrículos pueden observarse en la parte superior derecha en forma de líneas finas que se extienden a través del cráneo. La cruz apunta hacia la parte frontal del cráneo y a su derecha se pueden observar las líneas de los ventrículos.
Actualizado: 1/24/2008
