MedlinePlus Información de Salud para UstedMedlinePlus Información de Salud para UstedMedlinePlus Información de Salud para Usted

Enciclopedia médica en español

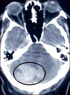
Tomografía computarizada de hemorragia intercerebral

Tomografía computarizada de hemorragia intercerebral

Esta tomografía craneal muestra una hemorragia intracerebelar.

Actualizado: 9/13/2008


A.D.A.M. logo