![]() | ![]() | ![]() |
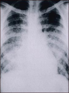
Pulmonía aguda por varicela - Rayos X de tórax

Esta radiografía muestra nubosidad en los pulmones debido a una neumonía aguda posterior a varicela. La neumonía rara vez se presenta como complicación de la varicela en los niños, pero sí ocurre en una quinta parte de los adultos.
Actualizado: 6/19/2008
