![]() | ![]() | ![]() |
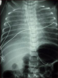
Retorno venoso pulmonar total anómalo, rayos X

El retorno venoso pulmonar anómalo total es un tipo de enfermedad cardíaca congénita. Esta radiografía muestra un aumento de tamaño del corazón, del hígado y de los vasos sanguíneos pulmonares (vascularidad pulmonar).
Actualizado: 5/2/2006
