![]() | ![]() | ![]() |
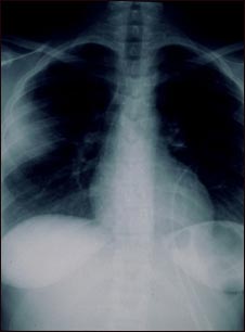
Aspergilosis - radiografía de tórax

La aspergilosis es una infección micótica en la cual un hongo invade y destruye el tejido. Este tipo de infección normalmente se presenta en individuos inmunocomprometidos. En este caso, la radiografía de tórax muestra que el hongo ha invadido el tejido pulmonar. En una radiografía, los pulmones generalmente se ven como áreas oscuras y la opacidad en el lado izquierdo de esta radiografía se debe a la presencia del hongo.
Actualizado: 9/17/2008
