![]() | ![]() | ![]() |
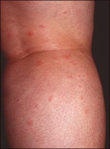
Picaduras de insecto en la pierna

Las picaduras de insectos pueden presentarse en grupo, en brotes (papulares), en forma de ronchas (urticariales) y estar rodeadas de un halo. En ocasiones se puede ver una depresión central o punctum.
Actualizado: 2/19/2008
