MedlinePlus Información de Salud para UstedMedlinePlus Información de Salud para UstedMedlinePlus Información de Salud para Usted

Enciclopedia médica en español

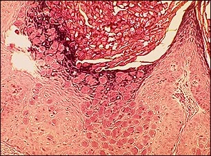
Molusco,aspecto microscópico

Molusco,aspecto microscópico

Este es el aspecto al microscopio de una lesión del molusco contagioso, perteneciente a la familia de los poxvirus. A la vista, estas lesiones son pequeñas, elevadas y perladas.

Actualizado: 7/17/2007


A.D.A.M. logo