![]() | ![]() | ![]() |
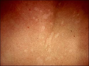
Acercamiento de tiña versicolor

Este paciente presenta una infección micótica de la piel conocida como tiña versicolor. Se caracteriza por la presencia de un salpullido, que puede ser de color amarillento a café dorado y puede hacerse más notorio después del bronceado, acompañado por un prurito leve; los sitios afectados con mayor frecuencia son el cuello, la parte superior del tórax, y la axila. Además, es más común en varones adolescentes y adultos jóvenes.
Actualizado: 10/23/2006
