![]() | ![]() | ![]() |
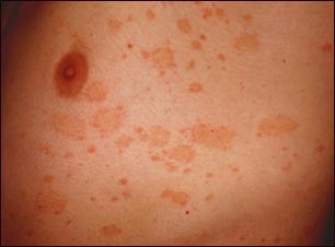
Pitiriasis rosada en el tórax

La pitiriasis rosada es una enfermedad cutánea caracterizada por puntos ovales (pápulas) de color entre rojo a rosado o pardusco, con escamas pequeñas y un aclaramiento central, ubicadas en el tronco. Esta erupción es precedida por una "placa heraldo" que dura de 1 a 2 semanas y que se puede apreciar en esta fotografía. Se cree que un agente infeccioso, probablemente un virus, causa esta enfermedad, la cual desaparece espontáneamente en un período de 2 a 8 semanas.
Actualizado: 10/16/2006
