![]() | ![]() | ![]() |
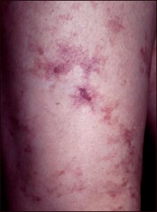
Vista de cerca del livedo reticularis

Esta fotografía en primer plano muestra una lesión de livedo reticularis en la pierna de un paciente. El término livedo se refiere a la piel con un patrón reticulado y de color rojo, que no palidece al presionarla. Esta condición es causada por la obstrucción de los vasos sanguíneos, lo cual puede tener diversas causas.
Actualizado: 4/16/2007
