![]() | ![]() | ![]() |
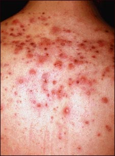
Acné vista de cerca de los quistes en la espalda

El acné quístico, o acné noduloquístico, es la manifestación más severa del acné, por la cual se presentan pústulas y protuberancias duras y rojas en la piel. Este tipo de acné es más difícil de tratar y muchas veces requiere ingestión oral de derivados de la vitamina A.
Actualizado: 4/14/2008
