MedlinePlus Información de Salud para UstedMedlinePlus Información de Salud para UstedMedlinePlus Información de Salud para Usted

Enciclopedia médica en español

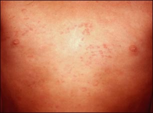
Urticaria en el tórax

Urticaria en el tórax

La urticaria en el tórax de esta persona tiene la apariencia típica roja y ligeramente elevada y produce prurito. La urticaria puede estar generalizada por todo el cuerpo o localizada.

Actualizado: 4/12/2007


A.D.A.M. logo